Zdraví-AZ Vaše fórum o zdraví

Právě je pon dub 20, 2026 5:44 pm

Všechny časy jsou v UTC + 1 hodina [ Letní čas ]




Odeslat nové téma Odpovědět na téma  [ Příspěvků: 23 ]  Přejít na stránku Předchozí  1, 2
Autor Zpráva
 Předmět příspěvku: Re: Zlomenina
PříspěvekNapsal: úte zář 14, 2021 3:47 pm 
Offline

Registrován: ned srp 08, 2021 10:25 am
Příspěvky: 28
Beladona píše:
Dobrý den. Mám zlomený prst na ruce. Může pomoci hojení prohřívání infralampou?

Prohřívání by hojení zlomeniny mohlo zkomplikovat, podle mého názoru to může ve zlomenině vyvolat zánět!


Nahoru
 Profil  
 
 Předmět příspěvku: Re: Zlomenina
PříspěvekNapsal: úte zář 14, 2021 7:21 pm 
Offline
Administrátor
Administrátor

Registrován: sob kvě 17, 2008 1:53 pm
Příspěvky: 28736
Bydliště: Poděbrady
Beladona píše:
Dobrý den. Mám zlomený prst na ruce. Může pomoci hojení prohřívání infralampou?

To je otázka kterou je docela složité odpovědět, akutní zánět teplo aktivuje a chronický tlumí, osobně bych asi vyzkoušel spíše regeneraci tkáně zlomeniny stejnosměrným proudem to jsem zde popisoval jako Godzila, případně vám mohu poslat návod jak si to jednoduché zařízeníčko zkonstruovat.


Nahoru
 Profil  
 
 Předmět příspěvku: Re: Zlomenina
PříspěvekNapsal: stř zář 15, 2021 6:25 pm 
Offline
Uživatelský avatar

Registrován: stř dub 28, 2010 9:48 am
Příspěvky: 447
Jarda píše:
u těch skořápek je vhodnější je roztlouct a rozpustit v čerstvé citronové šťávě. Té se dává tolik, aby drť byla potopená, pak přecedit a dodávat takto v roztoku zhruba množství z jedné skořápky denně s větším množstvím hořčíku a vitamínu B6 cca 50-100 mg denně.

Prosím jak dlouhou mám nechat louhovat ty skořápky v citrónu?


Nahoru
 Profil  
 
 Předmět příspěvku: Re: Zlomenina
PříspěvekNapsal: stř zář 15, 2021 10:32 pm 
Offline
Administrátor
Administrátor

Registrován: sob kvě 17, 2008 1:53 pm
Příspěvky: 28736
Bydliště: Poděbrady
Beladona píše:
Prosím jak dlouhou mám nechat louhovat ty skořápky v citrónu?

Většinou se plně rozpustí a zbydou jenom ty blanky z vnitřní strany které odstraníte přelitím cedníčkem.


Nahoru
 Profil  
 
 Předmět příspěvku: Re: Zlomenina
PříspěvekNapsal: pon srp 28, 2023 1:46 pm 
Offline
Uživatelský avatar

Registrován: pon úno 17, 2014 9:54 pm
Příspěvky: 246
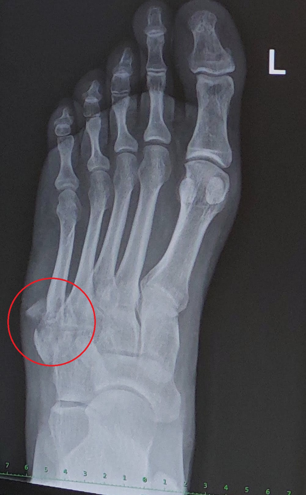
pred 14 dny zlomenina kosti malikove hrany na noze - praskly zebrik je previt. prikladam kontrolni rtg. hoji se to vyborne. mel jsem i rozseklou nohu a par stehu. taky se hoji dobre. bolestivost ustoupila. otok se zlepsil. drobny problem je ulomek kosti ktery tam trci - viz prilozeny snimek.
rad bych sel cestou kdy se kost remodeluje a ustepek se "zpracuje-srovna-rozpusti" sam misto dalsiho rezani a vystipnuti ulomku.
beru D3 a K2 a C, kolagen, Becka, horcik, vapnik, orechy, aspirin...
napada vas jeste neco dalsiho jak tomu pomoc aby bylo rozpusteni a srovnani ulomku mozne a rychle?


Přílohy:
20230828_114616.jpg
20230828_114616.jpg [ 375.45 KiB | Zobrazeno 9875 krát ]

_________________
https://www.petr-langr.cz/
Nahoru
 Profil  
 
 Předmět příspěvku: Re: Zlomenina
PříspěvekNapsal: pon srp 28, 2023 6:27 pm 
Offline
Administrátor
Administrátor

Registrován: sob kvě 17, 2008 1:53 pm
Příspěvky: 28736
Bydliště: Poděbrady
ash píše:
pred 14 dny zlomenina kosti malikove hrany na noze - praskly zebrik je previt. prikladam kontrolni rtg. hoji se to vyborne. mel jsem i rozseklou nohu a par stehu. taky se hoji dobre. bolestivost ustoupila. otok se zlepsil. drobny problem je ulomek kosti ktery tam trci - viz prilozeny snimek.
rad bych sel cestou kdy se kost remodeluje a ustepek se "zpracuje-srovna-rozpusti" sam misto dalsiho rezani a vystipnuti ulomku.
beru D3 a K2 a C, kolagen, Becka, horcik, vapnik, orechy, aspirin...
napada vas jeste neco dalsiho jak tomu pomoc aby bylo rozpusteni a srovnani ulomku mozne a rychle?

Mimo uvedené bych určitě vyzkoušel obklady kostivalem lékařským. Čerstvý kořen pouze rozdrtit s trochou vody na kaši tu rozetřít na gázu, tou gázou přiložit na ránu nebo poškozené místo, případně překrýt další gázou, omotat igelitem nebo strčit chodidlo do igelitového sáčku, na něj natáhnout ponožku a nechat působit. Pokud není čerstvý kořen stejně funguje i koupený kořen sušený, ovšem je potřeba ho předem namočit v teplé vodě aby se nasál a dál již stejný postup.


Nahoru
 Profil  
 
 Předmět příspěvku: Re: Zlomenina
PříspěvekNapsal: pon led 22, 2024 11:05 am 
Offline

Registrován: ned úno 28, 2010 11:25 pm
Příspěvky: 222
Dobrý den, chtěl jsem se zeptat jestli se dá někde sehnat godzila - nejsem moc zručný typ a elektřina není můj přítel. Dále by mě zajímalo jak se používá a na co všechno funguje děkuji


Nahoru
 Profil  
 
 Předmět příspěvku: Re: Zlomenina
PříspěvekNapsal: pon led 22, 2024 12:04 pm 
Offline
Administrátor
Administrátor

Registrován: sob kvě 17, 2008 1:53 pm
Příspěvky: 28736
Bydliště: Poděbrady
Sikora píše:
Dobrý den, chtěl jsem se zeptat jestli se dá někde sehnat godzila - nejsem moc zručný typ a elektřina není můj přítel. Dále by mě zajímalo jak se používá a na co všechno funguje děkuji

Sehnat asi ne o tom bych silně pochyboval že by ji někdo vyráběl, ale dle mého názoru je vyrobitelná i pro člověka kterej má obě ruce levé a je elektrikářský analfabet. Pokud chcete tak mě napište a mohu vám do emailu zaslat návod jak na to. Propojit baterku dvěma kouskama drátu s něčím z potravinářského nerezu a koupit dvě viskózové houbičky v drogerii by neměl být problém pro nikoho. Pochopitelně se bavím o rychlé variantě, pokud by člověk chtěl opravdu kvalitu pak je potřeba mít jednu elektrodu stříbrnou a to už je na delší blbnutí tu pak musí udělat zlatník a hlavně cena je naprosto jinde. Použití je vele jednoduché, prostě houbičky namočíte do slané vody, vyždímáte tak akorát, nesmí být moc suchá jinak pálí pokožku, přiložíte na tělo s tím že plus na problém a mínus někde na periferii. Třeba plus na koleno a mínus na kotník, nebo plus na játra a mínus na kotník, případně proti sobě dejme tomu na to koleno z jedné a druhé strany, ale nikdy by proud neměl jít přímo přes srdce. Sice se tím člověk určitě nezabije, ale v zásadě srdeční sval brzdí a to je jednoznačně zbytečné. Stejnosměrný proud je naprosto bezpečný do 24V a zde se bavíme o aplikaci cca 3-12V tedy je tam hodně velká rezerva. Logika fungování je velice jednoduchá, stejnosměrný proud zabíjí i v minimální intenzitě prakticky veškeré malé šmejdy kdekoliv v těle v zádě je ugrilujete na elektrickém křesle. Pomoci tedy může v zásadě u velice širokého spektra zdravotních potíží pokud vycházejí ze zamoření nějakým malým šmejdem.


Nahoru
 Profil  
 
Zobrazit příspěvky za předchozí:  Seřadit podle  
Odeslat nové téma Odpovědět na téma  [ Příspěvků: 23 ]  Přejít na stránku Předchozí  1, 2

Všechny časy jsou v UTC + 1 hodina [ Letní čas ]


Kdo je online

Uživatelé procházející toto fórum: Žádní registrovaní uživatelé a 5 návštevníků


Nemůžete zakládat nová témata v tomto fóru
Nemůžete odpovídat v tomto fóru
Nemůžete upravovat své příspěvky v tomto fóru
Nemůžete mazat své příspěvky v tomto fóru
Nemůžete přikládat soubory v tomto fóru

Hledat:
Přejít na:  
Založeno na phpBB® Forum Software © phpBB Group
Český překlad – phpBB.cz